Implantatprothetik: Implantate und Implantataufbauten für höchste Patientenzufriedenheit
Zahnlücken aufgrund fehlender Zähne sind nicht nur ästhetische Probleme. Sie können auch für diverse Beeinträchtigungen sorgen. Hier ermöglichen die Leistungen unseres Zahntechniklabors im Bereich der Implantatprothetik Abhilfe. Typische Vorteile der Technik und der Implantate sind:
- ansprechende Ästhetik
- ausgeprägter Komfort
- besondere Langlebigkeit
- Erhaltung des Kieferknochens
- hohe Festigkeit
- natürliche Kaufunktion
Arbeiten im Bereich der Implantattechnik führen unsere Zahntechniker in unserem Dentallabor in Ibbenbüren aus. Die Aufträge stammen dabei von Zahnärzten aus ganz Deutschland. Wann möchten Sie mit modernen Zahnimplantaten und Implantataufbauten Ihren Patienten wieder ein Lächeln ins Gesicht zaubern?
Welche Vorteile bietet die Implantatprothetik unseres Zahntechniklabors?
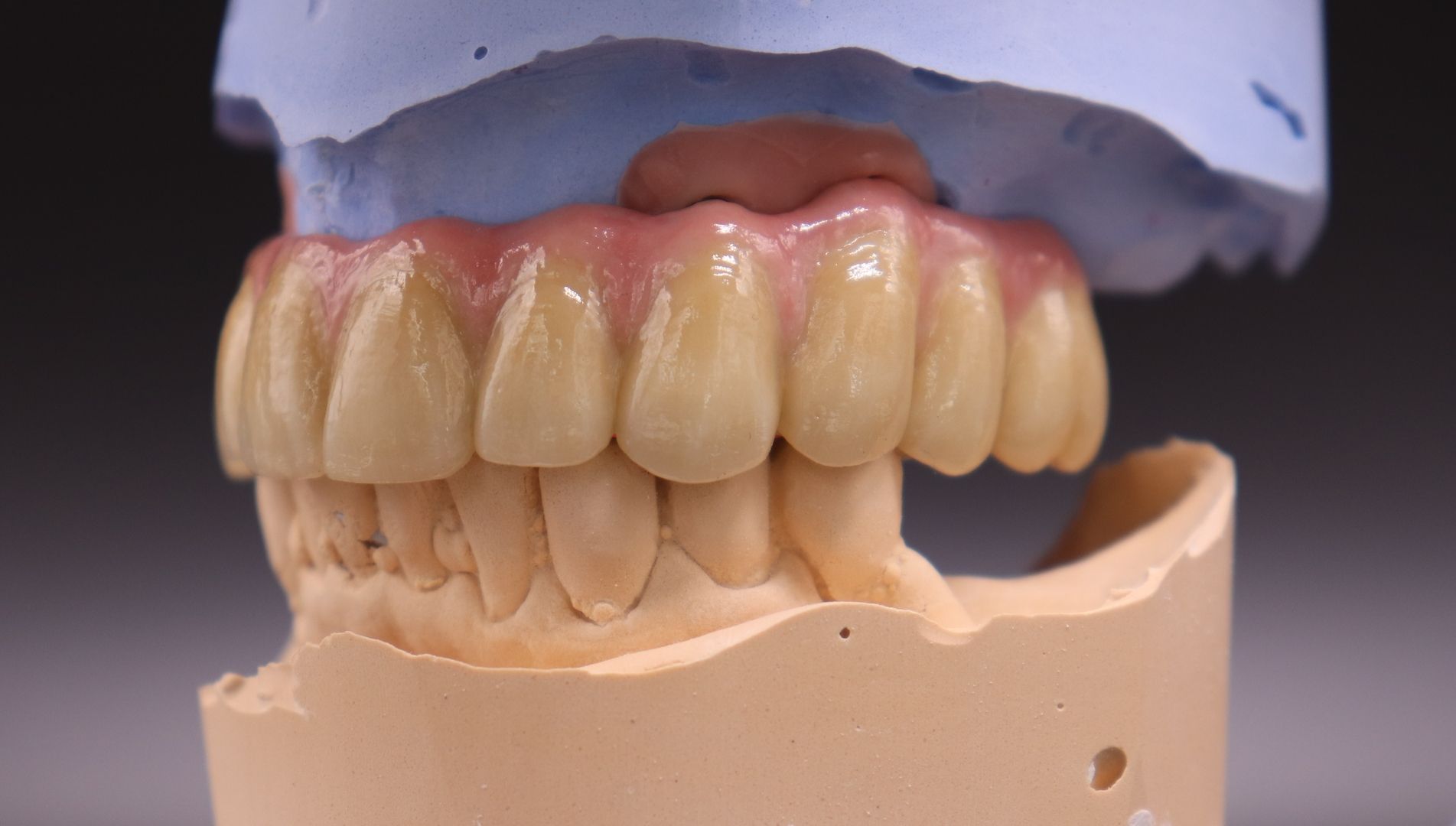
Der Ersatz fehlender Zähne durch Implantate und Implantataufbauten im Rahmen des Prozesses der Implantatversorgung ist seit Jahren ein beliebtes Verfahren. Das liegt auch an der Vermeidung von Knochenabbau sowie dem Erhalt des Kieferknochens. Dank innovativer Materialien, modernster Technik und hervorragend geschulter Zahntechniker bieten wir Ihnen aber noch mehr.
So nutzen wir spezielle, einteilige Abutments. Dadurch entfällt der Klebespalt, der bei herkömmlichen, verklebten Titanbasen oft störend ist. Zudem verwenden wir für Implantataufbauten Titan- oder Zirkonkronen und setzen so bezüglich Ästhetik, Festigkeit, Komfort und Langlebigkeit Maßstäbe.
Implantatversorgung: Wie verläuft die Behandlung mit Implantatprothetik?
Die Implantatversorgung umfasst die Planung, Einsetzung und Anpassung von Zahnimplantaten sowie der darauf befestigten Implantataufbauten. Bei uns beginnt der Prozess mit einer Erstberatung und Behandlungsplanung. Danach erfolgt das chirurgische Einsetzen der Implantate in den Kieferknochen. Nach der Heilungsphase und Osseointegration der Implantate mithilfe von Langzeitprovisorien bilden später die Entfernung des Langzeitprovisoriums und die Anfertigung sowie Anpassung der Prothese den Abschluss.
Kosten und Dauer unterscheiden sich nach Arbeitsaufwand und Situation. Die Heilungsphase mit Langzeitprovisorium kann beim Einsatz der Implantattechnik mehrere Monate dauern. Gerne beraten wir Sie umfassend zu Themen wie Implantatversorgung, Pflege des Langzeitprovisoriums, Finanzierungsoptionen bzw. Kostenübernahmen durch die Krankenkassen sowie zu Alternativen wie Zirkonkronen oder monolytisches Zirkon. Interessiert? Dann wenden Sie sich bitte unverbindlich an uns!
